Vous souffrez de scoliose et d’une mauvaise posture ? Il y a de l’espoir.
En bref : La scoliose affecte votre posture et vous cause de l’inconfort ? Renforcez votre ceinture abdominale et améliorez votre posture grâce à des exercices de posture ciblés et à des approches innovantes comme le yoga postural et la technique Alexander. Pulse Align propose une approche unique et simple de correction posturale qui peut vous aider à retrouver votre santé. Retrouvez votre santé et votre bien-être aux cliniques Pulse Align. Prendre rendez-vous dès aujourd’hui ! Souffrez-vous de douleurs lombaires et d’une mauvaise posture ? Scoliose et exercice : comment Pulse Align peut compléter votre routine ? Ce programme vise à améliorer la posture et à soulager les symptômes tels que les douleurs lombaires grâce à des exercices de posture et des techniques de mouvement conscient. Des études montrent qu’un nombre important d’adultes souffrent de troubles tels que l’hyperlordose, entraînant des problèmes de posture tels que la tête penchée vers l’avant et les épaules voûtées. Découvrez comment l’approche personnalisée de Pulse Align, intégrant renforcement musculaire et ergonomie, peut améliorer efficacement la correction posturale et soulager l’inconfort. Apprenez-en plus sur la scoliose, ses causes, ses symptômes, son diagnostic et ses options de traitement. Comprenez comment cette affection affecte la santé de la colonne vertébrale et découvrez des stratégies de prise en charge efficaces pour les personnes atteintes de scoliose.Découvrez les bienfaits de Pulse Align : une approche naturelle pour l’amélioration de la posture
Avez-vous déjà réfléchi à l’impact considérable que l’amélioration de la posture peut avoir sur votre bien-être général ? À l’avant-garde de ce mouvement se trouve
Pulse Align , qui se concentre sur le recalibrage neuromusculaire Comprendre l’approche douce de Pulse Align Pulse Align se distingue dans le secteur du bien-être en proposant une approche holistique axée sur le tonus musculaireet l’équilibre naturel Au lieu de structurer nos services autour de symptômes ou de pathologies spécifiques, nous mettons l’accent sur l’importance de restaurer la symétrie du tonus musculaire. Nos clients peuvent ainsi retrouver un alignement corporel rééquilibré, améliorant ainsi leur posture. Nos techniques de stimulation douces soutiennent la capacité intrinsèque du corps à guérir et à trouver son équilibre sans recourir à des méthodes invasives. De nombreux clients ont déclaré ressentir un confort et un bien-être accrus grâce à Pulse Align. En mettant l’accent sur les bienfaits holistiques, tels qu’une souplesse accrue et un soutien musculaire global, nos clients constatent régulièrement qu’ils peuvent améliorer leur posture naturellement. Les témoignages font souvent état de réduction des tensions et d’amélioration de la mécanique corporelle globale, confirmant ainsi l’efficacité de notre approche unique du bien-être.Rejoignez la communauté Pulse Align

Trouvez une clinique Pulse Align près de chez vous
et prenez rendez-vous dès aujourd’hui ! N’oubliez pas que Pulse Align complète les soins de santé, mais ne les remplace pas. Vous pouvez ainsi collaborer avec votre équipe soignante pour un soutien optimal. https://www.youtube.com/watch?v=b6B5qYeOKyM Exercices ciblés : Entraînements sur mesure conçus pour renforcer les muscles profonds et améliorer l’alignement.Approche holistique : Intégre des techniques de physiothérapie à la conscience du mouvement.Entraînement postural :
Se concentre sur la correction de la posture pour soulager l’inconfort.
Plans personnalisés : Programmes d’exercices personnalisés basés sur une évaluation individuelle. Communauté de soutien : Encourage la participation à des séances de groupe pour la motivation.Conseils d’experts : Conseils professionnels de thérapeutes et d’entraîneurs. Flexibilité et mobilité :Améliorer l’amplitude des mouvements pour minimiser la raideur.
Prévention des blessures :
Stratégies pour réduire le risque de douleur et de complications. Découvrez les causes, les symptômes et les options de traitement de la scoliose, une affection qui affecte la courbure de la colonne vertébrale. Apprenez à gérer la scoliose et à obtenir des conseils pour vivre avec.La scoliose, une affection caractérisée par une courbure anormale de la colonne vertébrale, peut avoir un impact significatif sur la qualité de vie. Adopter des routines d’exercices adaptées est essentiel pour améliorer la posture et soulager l’inconfort associé à la scoliose. Chez Pulse Align, nous mettons l’accent sur la santé neuromusculaire grâce à des interventions personnalisées qui s’inscrivent dans notre approche holistique, favorisant la symétrie et un alignement idéal. Cet article explore comment l’adoption de pratiques d’amélioration de la posture peut optimiser votre alignement au quotidien et favoriser votre bien-être général.
Comprendre la scoliose et son impact
La scoliose se divise en plusieurs types : idiopathique, congénitale et neuromusculaire. Chaque type de scoliose affecte les individus différemment, avec des degrés de gravité et des symptômes associés variables. Les personnes atteintes de scoliose peuvent remarquer des signes distinctifs tels que des épaules voûtées, une tête en avant et des hanches inégales, qui peuvent aggraver l’inconfort et les déséquilibres musculo-squelettiques. Le rôle du renforcement musculaire La mise en œuvre d’exercices de renforcement musculaire est essentielle pour une prise en charge efficace de la scoliose. Un tronc fort offre un soutien structurel, stabilise la colonne vertébrale et soulage les muscles environnants. Des exercices tels que le pont, la planche et le développé abdominal ciblent efficacement les groupes musculaires clés, améliorant ainsi les performances et facilitant la correction posturale. De plus, des modifications peuvent être intégrées en fonction de la condition physique de chacun pour garantir une pratique sûre et efficace. Yoga et Pilates pour améliorer la posture Intégrer le yoga et le Pilates pour améliorer la posture à votre routine offre une approche consciente pour améliorer la santé de la colonne vertébrale. Ces pratiques se concentrent sur le mouvement conscient.
- Exercices d’étirement efficaces Intégrer des exercices d’étirement à votre routine quotidienne est essentiel pour soulager l’inconfort associé à la scoliose. Privilégiez les étirements qui ciblent le dos et les épaules, contribuant à relâcher les tensions et à améliorer la souplesse. L’étirement de la porte, par exemple, améliore la mobilité du haut du dos tout en neutralisant les effets d’une mauvaise posture. Des étirements réguliers peuvent soulager les tensions et améliorer l’alignement général.
- Techniques de mouvement conscient Explorer des techniques comme la technique Alexander ou la méthode Feldenkrais peut approfondir votre compréhension de la mécanique corporelle. Ces méthodes favorisent la prise de conscience des schémas de mouvement, favorisant une approche plus équilibrée des activités quotidiennes. En adoptant une posture assise correcte et en adoptant des pratiques ergonomiques, vous pouvez atténuer l’impact d’une position assise ou debout prolongée sur la santé de votre colonne vertébrale.
- Comment Pulse Align peut vous accompagner dans votre parcours Chez Pulse Align, notre équipe dévouée est en mesure d’élaborer des programmes d’exercices personnalisés adaptés à vos besoins spécifiques. Que ce soit par la thérapie par ondes de choc pour les douleurs lombaires ou par des exercices ciblés pour le tronc, notre objectif est de vous aider à retrouver un corps plus aligné et équilibré. En adoptant ces pratiques, vous pouvez améliorer votre bien-être général et vous lancer dans une meilleure posture.
- Prendre rendez-vous Si vous souhaitez prendre en charge la santé de votre colonne vertébrale et améliorer votre posture générale, nous vous invitons à
- prendre rendez-vous avec Pulse Align. Nos experts s’engagent à vous aider à atteindre vos objectifs de bien-être grâce à des approches sur mesure et des méthodologies efficaces. Laissez-nous vous accompagner dans votre parcours vers une vie plus saine et plus équilibrée !
- Aspect Approche Pulse Align
- Conscience posturale Encourage la pleine conscience dans l’alignement et les mouvements quotidiens pour une meilleure posture générale.
- Stabilité du tronc Se concentre sur l’engagement des muscles profonds pour améliorer la stabilité et soutenir l’équilibre naturel du corps.

Inclut des exercices doux qui favorisent la souplesse et favorisent le recalibrage naturel du corps. Bien-être holistique Aborde le bien-être général par des pratiques de conscience corporelle qui encouragent un mode de vie équilibré. Autonomisation Fournit aux individus des outils et des techniques pour se sentir maîtres de leur bien-être. Mouvement fonctionnel Met l’accent sur les mouvements fonctionnels qui intègrent les activités quotidiennes à un positionnement corporel conscient.
Techniques de relaxation
Enseigne des méthodes de relaxation qui peuvent aider à soulager les tensions et favoriser le bien-être général. Communauté de soutienFavorise un environnement favorable où les individus peuvent partager leurs expériences et recevoir des encouragements. Pratiques fondées sur des données probantesUtilise des pratiques fondées sur la recherche qui se concentrent sur l’amélioration des schémas de mouvement naturels.
Accompagnement personnalisé
Propose des approches personnalisées adaptées aux besoins individuels, favorisant la conscience de soi et l’adaptabilité. Parcours bien-être transformateurs : Découvrir l’équilibre avec Pulse Align De nombreux clients ayant recours à Pulse Align pour leur traitement de la scoliose décrivent un regain de vitalité et de bien-être tout au long de leur parcours bien-être. L’approche unique de Pulse Align vise à stimuler la capacité innée du corps à se rééquilibrer et à atteindre l’harmonie, permettant ainsi une amélioration fonctionnelle et une diminution de l’inconfort. De La Prairie à Saint-Jérôme, des personnes ont partagé leurs expériences de stabilité et de force accrues grâce à l’intégration d’exercices adaptés à leurs besoins spécifiques à leur routine. Les programmes personnalisés de Pulse Align ont donné des résultats probants : les clients ont constaté des améliorations significatives de leur posture et de leur santé globale, soulignant l’importance d’investir dans son rétablissement.À Mont-Royal, les clients ont trouvé une immense valeur dans la façon dont Pulse Align complète les pratiques de bien-être existantes. En favorisant un environnement favorable, les cliniciens travaillent de concert avec les équipes de soins pour cultiver une atmosphère où les familles et les individus peuvent s’épanouir. Les témoignages font écho à un thème commun : une plus grande conscience de la mécanique corporelle conduit à un plus fort sentiment de contrôle sur la santé.
Alors que les résidents de Terrebonne et de Chicoutimi découvrent les avantages des offres de Pulse Align, les retours sont extrêmement positifs. Les clients constatent des améliorations naturelles à mesure qu’ils s’engagent dans les exercices recommandés qui correspondent aux besoins de leur corps. Cette approche holistique atténue non seulement l’inconfort, mais favorise également un mode de vie de bien-être à long terme.
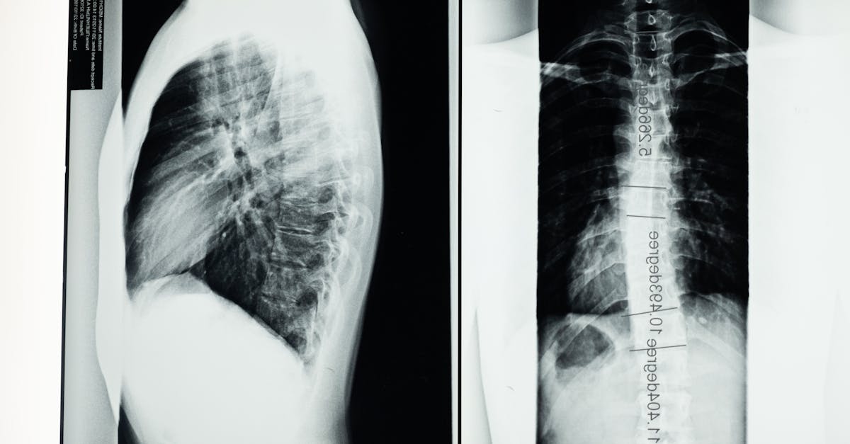
Les habitants de Châteauguay et de Deux-Montagnes ont adopté cette approche innovante et ont été témoins de transformations qui vont au-delà des bienfaits physiques. L’intégration de l’exercice de pleine conscience dans les routines quotidiennes a permis aux clients d’accepter leur maladie avec confiance et résilience, favorisant ainsi une attitude proactive dans leur parcours de rétablissement. L’engagement de Pulse Align à soutenir les clients et leurs familles ne passe pas inaperçu, car l’accent mis sur la collaboration est devenu la pierre angulaire des services fournis. Que ce soit à Sainte-Marie ou aux Escoumins, d’innombrables personnes trouvent leur autonomie grâce au mouvement, contribuant ainsi à leur récit global de santé. Pour ceux qui explorent de nouvelles voies vers le bien-être, Pulse Align est une lueur d’espoir et de guérison. Pour plus d’informations et pour trouver une clinique près de chez vous, visitez Nos cliniques et commencez votre propre voyage vers l’équilibre et la santé grâce aux conseils d’experts de Pulse Align. Comprendre la scoliose Scoliose La scoliose est une affection caractérisée par une courbure anormale de la colonne vertébrale, donnant souvent l’impression qu’une épaule est plus haute que l’autre. Ce désalignement peut entraîner des complications telles qu’inconfort, mobilité réduite, voire douleur. Son intensité peut varier, certaines personnes ne ressentant que des symptômes légers, tandis que d’autres peuvent rencontrer des difficultés importantes. Cette affection apparaît généralement pendant l’enfance, mais de nombreux adultes reçoivent un diagnostic plus tard dans la vie, attribuant souvent leurs symptômes au vieillissement normal. Des facteurs tels que l’ostéoporose, les blessures ou les affections musculaires et nerveuses peuvent aggraver les symptômes, d’où l’importance d’une détection et d’une intervention précoces.
Exercices de kinésithérapie pour la scoliose
Un programme d’exercices de kinésithérapie personnalisé peut soulager considérablement les symptômes de la scoliose. Un programme bien conçu comprend souvent des exercices qui fléchissent et redressent le dos dans plusieurs directions : vers l’avant et vers l’arrière, latéralement et de haut en bas, corrigeant ainsi la courbure multidimensionnelle altérée par la scoliose. Des approches populaires, telles que la méthode Schroth et l’approche scientifique de la scoliose par les exercices (SEAS), mettent l’accent sur la conscience corporelle et la stabilité de la colonne vertébrale. L’intégration d’exercices sollicitant la coordination, l’équilibre, la force, l’endurance et l’amplitude de mouvement peut favoriser un réalignement efficace et une meilleure santé vertébrale. Exercices à envisager Voici quelques exercices faciles à intégrer à votre routine :Postures du chat et de la vache
: Commencez à quatre pattes, cambrez le dos à l’inspiration et courbez-le vers le bas à l’expiration.
Postures du chien tête en haut et tête en bas : Passez d’une posture à l’autre pour étirer et renforcer votre colonne vertébrale. Postures du chien oiseau : En position de table, tendez le bras et la jambe opposés pour favoriser l’équilibre et l’engagement des muscles abdominaux. Postures du superman
: Allongé sur le ventre, levez les bras et les jambes pour solliciter les muscles du dos.
Postures du grand dorsal : Étirez et renforcez les muscles latéraux essentiels à la stabilité de la colonne vertébrale. Traitements ciblés Des consultations régulières avec un kinésithérapeute qualifié sont essentielles pour adapter votre programme d’exercices selon vos besoins. De plus, des méthodes telles que lathérapie manuelle
,
l’électrostimulation et des orthèses ou semelles orthopédiques spécialisées peuvent compléter votre entraînement physique et optimiser votre récupération. Obtenez un traitement personnalisé
| Ignorer la scoliose entraîne souvent des complications telles que des douleurs chroniques et un désalignement général. Heureusement, la kinésithérapie offre des alternatives conservatrices suffisantes dans de nombreux cas, ainsi qu’un accompagnement pour préparer une intervention chirurgicale si nécessaire. Les kinésithérapeutes possèdent l’expertise nécessaire pour concevoir des programmes sur mesure qui répondent aux défis musculo-squelettiques posés par la scoliose, garantissant une approche globale du maintien et de l’amélioration. | Notre mission |
|---|---|
| Chez Pulse Align, notre mission est de proposer des traitements fondés sur des données probantes et centrés sur le patient, qui s’attaquent aux causes sous-jacentes de la douleur et des dysfonctionnements. En intégrant des techniques et des technologies de pointe, nous nous efforçons de permettre à chaque personne de prendre en main sa santé, garantissant un niveau de soins élevé, un soulagement durable et une meilleure qualité de vie. | Apprenez-en plus sur cette approche et les services disponibles chez |
| Pulse Align | et trouvez un centre près de chez vous ici : |
| Centres Pulse Align | . |
| Transformez votre santé grâce à la technologie de décompression vertébrale de TAGMED | TAGMED propose une thérapie de décompression vertébrale avancée, spécialement conçue comme une solution non chirurgicale pour les patients souffrant de problèmes discaux modérés à sévères, notamment de hernies discales et de bombements discaux. En réduisant doucement la pression sur les disques et les nerfs affectés, cette technique spécialisée améliore la mobilité, soulage la douleur et favorise le processus naturel de guérison. Si les thérapies conventionnelles n’ont pas donné de résultats, découvrez comment l’approche de décompression fondée sur des données probantes de TAGMED peut vous aider à retrouver un mode de vie actif et confortable. |
| Avez-vous essayé les traitements conventionnels et souffrez-vous toujours de maux de dos persistants dus à une affection discale sévère ? | Mécanisme d’action |
| La décompression neurovertébrale de TAGMED | applique une force de traction contrôlée et progressive sur la colonne vertébrale, augmentant ainsi l’espace entre les vertèbres. Cette méthode réduit efficacement la pression exercée sur les disques intervertébraux et les racines nerveuses, favorisant ainsi une meilleure circulation des fluides dans la zone ciblée. Ce procédé contribue ainsi à réduire l’inflammation et à soulager la douleur, offrant ainsi une solution fiable et non invasive aux personnes souffrant de douleurs dorsales chroniques. |
| Avantages spécifiques | Cette approche non invasive soulage efficacement la douleur chronique et les symptômes liés à des pathologies telles que la sténose spinale et la protrusion discale. En réduisant la pression exercée sur les structures nerveuses et en optimisant la circulation des fluides autour des disques, la technique de TAGMED accélère le processus de guérison et améliore la qualité de vie de nombreux patients. Bénéficiez d’améliorations notables en termes de mobilité, de confort et de fonctionnement quotidien grâce à cette thérapie innovante, en particulier pour les personnes atteintes de discopathie dégénérative ou de syndrome facettaire. |
| Comparaison avec d’autres traitements | La comparaison de la technologie de décompression neurovertébrale de TAGMED avec d’autres traitements couramment utilisés, notamment les analgésiques, les injections de corticostéroïdes et la chirurgie, met en évidence ses avantages. Contrairement aux interventions invasives, la méthode TAGMED minimise les risques liés aux médicaments et favorise une guérison potentiellement plus rapide. Ce choix convaincant offre une alternative plus sûre et fondée sur des données probantes pour les personnes cherchant à soulager un inconfort persistant. |
| Études de cas ou témoignages | Des exemples concrets présentent des patients ayant bénéficié de la thérapie de décompression neurovertébrale de TAGMED. Les témoignages révèlent des améliorations telles qu’un soulagement durable de la douleur, une reprise plus rapide des activités quotidiennes et une diminution de la dépendance aux médicaments. Ces témoignages soulignent les résultats tangibles et les avantages pratiques de l’approche thérapeutique de TAGMED, ce qui en fait une option précieuse pour ceux qui cherchent à recouvrer la santé. |
| Améliorez votre parcours bien-être avec Pulse Align | Si vous recherchez une approche naturelle et holistique pour améliorer votre bien-être, Pulse Align pourrait vous apporter le soutien dont vous avez besoin. Nos méthodes se concentrent sur la correction posturale et le bien-être grâce à un recalibrage neuromusculaire doux, permettant au corps d’activer ses propres processus de guérison. Cette approche vise à améliorer l’alignement naturel de votre corps, ce qui peut conduire à une meilleure posture, une réduction de l’inconfort et une mobilité accrue. |
Des clients ont constaté des transformations positives avec Pulse Align, plébiscitant le programme pour son approche bienveillante et sa capacité à favoriser un sentiment d’équilibre et de bien-être. Notre travail repose sur un environnement bienveillant et centré sur le client, dédié à vous aider à vous sentir au mieux de votre forme.
Êtes-vous prêt à entamer votre parcours vers une vie plus saine et plus équilibrée ? Planifiez votre consultation dès maintenant et découvrez comment Pulse Align peut compléter votre routine bien-être. Rejoignez-nous dans ce voyage pour un soulagement naturel de la douleur et adoptez une approche holistique vers le bien-être. N’attendez plus, faites le premier pas dès aujourd’hui ! Souffrez-vous d’une maladie chronique qui répond peu ou pas aux traitements conventionnels ? Dans un monde où les solutions évoluent rapidement, Pulse Align propose une méthode non invasive et innovante visant à restaurer l’équilibre et la posture naturels du corps grâce à des impulsions douces et imperceptibles. Cette approche douce est conçue pour aider les clients à recalibrer leur tonus musculaire, ce qui entraîne souvent une réduction notable des tensions et de l’inconfort musculaire et articulaire. En soutenant les processus naturels du corps, Pulse Align accompagne les individus dans un parcours holistique vers le bien-être. Il est important de noter que Pulse Align ne traite pas directement l’inconfort ou les problèmes ; il vise plutôt à permettre au corps de se rééquilibrer naturellement. Les clients signalent souvent des améliorations remarquables de leur confort général et de leur posture, ce qui se traduit par un bien-être accru qui va au-delà de la simple gestion des symptômes. L’accent mis sur l’amélioration de la symétrie du tonus musculaire favorise un mode de vie équilibré et favorise la santé physique et émotionnelle. Pulse Align se distingue par son approche personnalisée du bien-être. Des clients ont partagé leurs expériences d’améliorations remarquables de leur bien-être général, notamment un soulagement des tensions quotidiennes. De nombreux témoignages soulignent une amélioration de leurs activités quotidiennes, contribuant notamment à la réduction des tensions au niveau du cou et du dos. Ces commentaires positifs démontrent comment l’attention personnalisée apportée par Pulse Align favorise non seulement le bien-être individuel, mais aussi une approche familiale, adaptée aux enfants comme aux femmes enceintes.
Nous vous invitons à en savoir plus sur Pulse Align en visitant notre site web. Vous y trouverez plus d’informations et trouverez des cliniques dans votre région, comme à La Prairie, Mont-Royal, Terrebonne et ailleurs. Prendre rendez-vous pour une consultation, pour vous ou votre famille, est simple et accessible. N’oubliez pas que Pulse Align s’intègre harmonieusement à vos services de santé, les complétant plutôt qu’ils ne les remplacent, garantissant ainsi une approche globale du bien-être. Pour en savoir plus sur nos services et prendre rendez-vous, consultez notre site web : Pulse Align
Frequently Asked Questions
Déséquilibre postural, désalignement du corps
Quelle est la différence entre un déséquilibre postural et une scoliose ?
Le déséquilibre postural concerne une mauvaise répartition des forces, souvent réversible, tandis que la scoliose est une déformation structurelle de la colonne.
Le yoga peut-il prévenir le déséquilibre postural ?
Oui, le yoga améliore la souplesse, la force et la conscience corporelle, aidant ainsi à prévenir et corriger les déséquilibres.
Un déséquilibre postural peut-il causer de la fatigue ?
Oui, maintenir une posture incorrecte requiert plus d’effort musculaire, entraînant une fatigue accrue au quotidien.
Les sports d’endurance peuvent-ils favoriser une meilleure posture ?
Certains sports comme la natation ou le yoga améliorent le tonus musculaire global et favorisent un meilleur alignement postural.
Une mauvaise posture peut-elle causer des douleurs à la mâchoire ?
Oui, un alignement incorrect de la tête et du cou peut entraîner des tensions dans la mâchoire, provoquant des douleurs ou des troubles de l’ATM.
Les enfants peuvent-ils souffrir de déséquilibre postural ?
Oui, le port de cartables lourds, les mauvaises habitudes posturales et la croissance rapide peuvent engendrer des déséquilibres chez les enfants.
Les personnes âgées sont-elles plus sujettes au désalignement ?
Avec l’âge, la perte de densité osseuse, la diminution de la masse musculaire et la sédentarité peuvent favoriser les désalignements.
Le choix des chaussures influence-t-il la posture ?
Absolument, des chaussures inadaptées peuvent modifier la biomécanique du pied, affectant ainsi la posture globale et l’alignement du corps.
Comment la respiration influence-t-elle la posture ?
Une respiration diaphragmatique correcte soutient le tronc et améliore l’alignement, tandis qu’une respiration superficielle peut aggraver les tensions.
Peut-on utiliser une ceinture posturale ?
Une ceinture posturale peut aider temporairement, mais il faut travailler sur les causes profondes et renforcer la musculature pour un effet durable.
Victor Guillot sait que les douleurs de la vie peuvent souvent être attribuées à la façon dont nous nous asseyons, nous levons et bougeons. En tant que défenseur de la posture chez Pulse Align, il s’engage à montrer aux lecteurs comment de petits ajustements d’alignement peuvent apporter un grand soulagement. Avec un mélange d’empathie et de recherche fondée sur des données probantes, Victor traduit la science de la posture en étapes pratiques qui aident à soulager l’inconfort, à protéger contre les blessures et à rétablir l’équilibre naturel. Il croit que tout le monde mérite de se sentir fort, stable et sans douleur – et à travers ses écrits, il offre les conseils et les encouragements pour aider les lecteurs à atteindre cet objectif.
Avis de non-responsabilité médicale
Les informations et conseils fournis sur ce site ne remplacent pas les conseils, le diagnostic ou le traitement d’un professionnel de la santé. Veuillez noter que l’auteur de cet article n’est ni médecin ni spécialiste d’une spécialité médicale telle que définie par le Collège des médecins du Québec. La médecine manuelle, la médecine fonctionnelle et la médecine sportive telles que décrites sur ce site excluent tout traitement médical ou diagnostic posé par un médecin ou un spécialiste médical. Consultez toujours votre médecin pour toute question médicale. Pour plus de détails, veuillez lire notre mention légale complète.



